Konventionelles Röntgen

Der Begriff Röntgen, oder auch Röntgendiagnostik bezeichnet ein Verfahren in der Radiologie, bei dem von einer Röntgenröhre elektromagnetische Wellen (Röntgenstrahlen) durch die zu untersuchende Körperregion des Patienten gesendet werden. Je nach Dichte der Gewebeart des Körpers (z.B. Knochen oder Lunge) werden die Röntgenstrahlen im Körper unterschiedlich stark abgeschwächt. Ein digitaler Detektor empfängt dann die Röntgenstrahlen, die in abgeschwächter Form den Körper wieder verlassen haben. Daraus wird das Röntgenbild erzeugt.

Röntgenaufnahme Halswirbelsäule

Die zu untersuchenden Anteile des Körpers werden meistens
in 2 unterschiedlichen Projektionsebenen dargestellt.
In einigen Körperregionen sind spezielle Zielaufnahmen notwendig.

Die Röntgenuntersuchung ist weiterhin eine unverzichtbare Basisdiagnostik. Viele Fragen können in der medizinischen Diagnostik mit einer konventionellen Röntgenaufnahme geklärt werden.

Durch den Einsatz neuester volldigitaler Röntgentechnik wird die Strahlendosis auf niedrigstem Niveau gehalten.

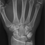
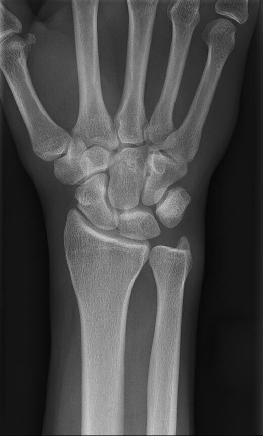
Röntgen Knochen
Röntgenaufnahme einer Hand
  • Fraktur
  • Arthrose
  • Rheumatische Gelenkerkrankungen
  • Degenerative Veränderungen der Wirbelsäule
  • Knochentumor
  • Osteoporose
  • Therapiekontrolle nach OP am Skelettsystem
  • Vollautomatische Erstellung von Ganzbein- und Ganzwirbelsäulenaufnahmen
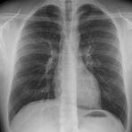
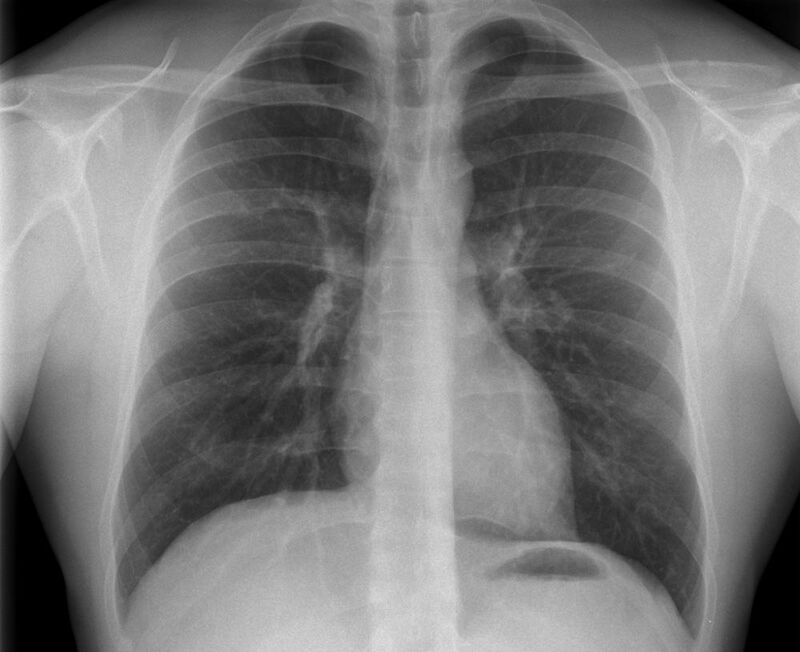
Röntgen Lunge
Röntgenaufnahme des Thorax
  • Entzündungsdiagnostik (Pneumonie, gehäufte Bronchitis)
  • Pleuraerguss
  • Tumorverdacht
  • Lungenemphysem
  • Herzinsuffizienz
  • Therapiekontrolle
Röntgen Bauchorgane
  • Ileus
  • Verdacht auf Perforation von Teilen des Magen-Darm-Trakts
  • Nierensteindiagnostik

Der Patient wird gebeten, die Körperregion, die zu röntgen ist, vollständig frei zu machen. Dabei sollen Schmuck und Kleidungsstücke abgelegt werden, wenn sie die zu untersuchende Körperregion bedecken. Vor der Aufnahme wird der Patient bzw. das betreffende Körperteil unter Anleitung der Röntgenassistenten in eine bestimmte Stellung zwischen Kassette und Röntgenröhre positioniert.

Während der Röntgenaufnahme ist es besonders wichtig, dass Sie sich nicht bewegen. Dies kann die Qualität der Aufnahme bedeutend beeinflussen. Deshalb erhalten Sie bei fast allen Röntgenuntersuchungen Atemkommandos.

Für konventionelle Röntgenaufnahmen sind keine Terminvereinbarungen notwendig, nutzen Sie unsere Praxis-Öffnungszeiten.
Außerdem wird keine spezielle Vorbereitung benötigt.
Es nicht erforderlich, für diese Untersuchungen nüchtern zu sein.

Bei einer Schwangerschaft ist die Indikation besonders streng zu stellen, die Dringlichkeit einer Röntgenuntersuchung ist dann gesondert zu prüfen. Bitte informieren sie unsere Röntgenassistenten unbedingt, wenn eine Schwangerschaft besteht oder bestehen könnte!

Am Untersuchungstag bitte mitbringen:

  • Überweisungsschein
  • Krankenversicherungskarte bzw. Gesundheitskarte
  • falls vorhanden: Röntgenpass